Ne morate se navikavati na zub koji vam stvara nelagodnost.
Ne morate se navikavati na zub koji vam stvara nelagodnost.
Ne morate se navikavati na zub koji vam stvara nelagodnost.
Precizno izrađena krunica vraća oblik i čvrstinu zuba kroz jednostavan i bezbolan postupak, već za 7 dana.
Precizno izrađena krunica vraća oblik i čvrstinu zuba kroz jednostavan i bezbolan postupak, već za 7 dana.
Precizno izrađena krunica vraća oblik i čvrstinu zuba kroz jednostavan i bezbolan postupak, već za 7 dana.
4.8/5 Google Recenzije (120+ ocena)
4.8/5 Google Recenzije (120+ ocena)





30+ godina iskustva
30+ godina iskustva
30+ godina iskustva
Preko 10.000 zadovoljnih pacijenata
Preko 10.000 zadovoljnih pacijenata
Preko 10.000 zadovoljnih pacijenata



Besplatne konsultacije za ugradnju zubnih
implanta dostupne su do 15. marta.
Mogućnost ostvarivanja pogodnosti
ističe 15. marta.
Mogućnost ostvarivanja pogodnosti ističe
15. marta.
Mogućnost ostvarivanja pogodnosti ističe
15. marta.
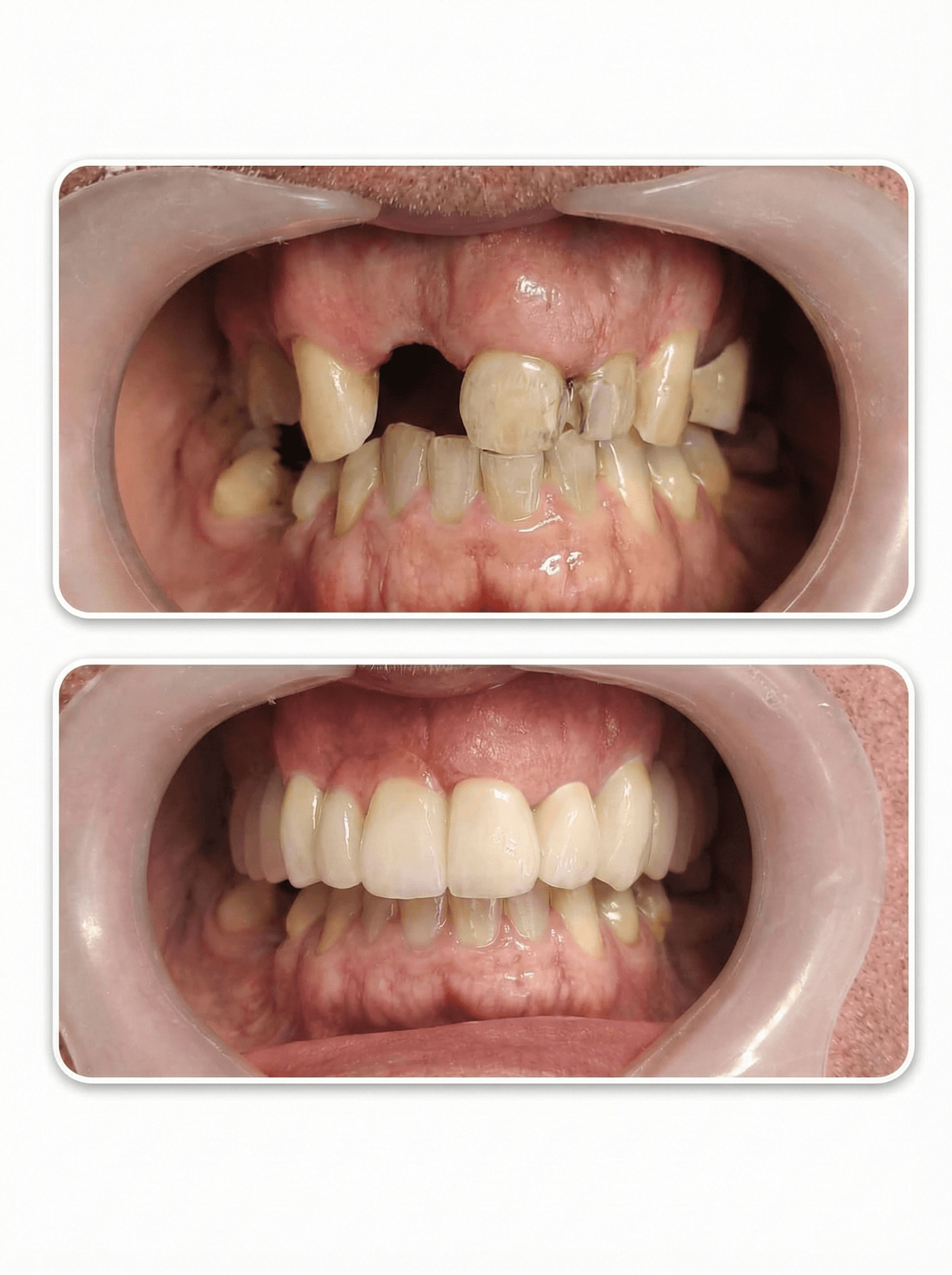
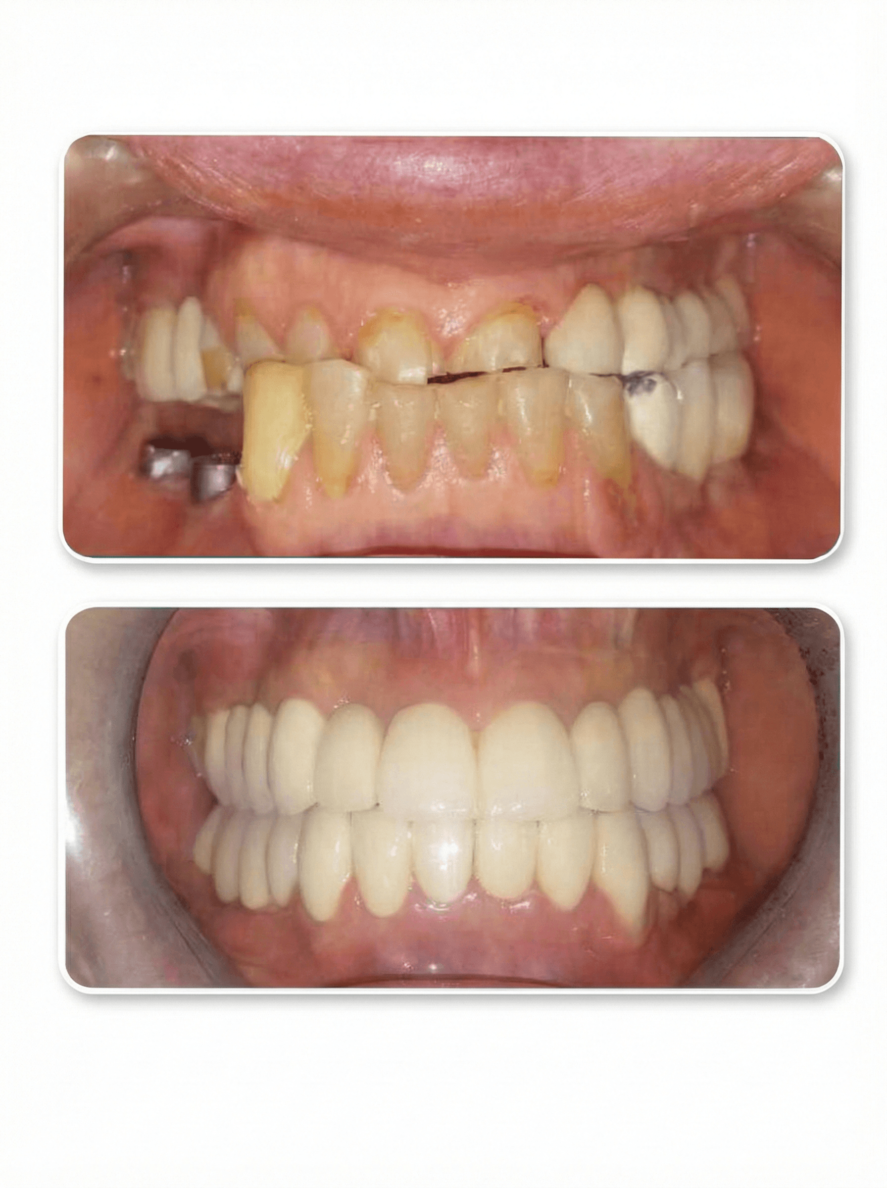
Rezultati naših pacijenata
Rezultati naših pacijenata



Krunice izrađene sa
iskustvom i pažnjom
Krunice izrađene sa
iskustvom i pažnjom


Dr spec. Marija Sjerobabin
Doktor stomatologije
Krunica ne treba samo da izgleda dobro, već i da bude stabilna u zagrizu. U izradi se vodi računa o svakom detalju - od nijanse i oblika do funkcionalne ravnoteže.
Za protetiku i estetsko uklapanje, kod nas je zadužena Dr Marija Sjerobabin, sa preko 20 godina iskustva u izradi krunica i protetskih radova.
Dr Marija svakoj terapiji pristupa individualno, uz pažljivo planiranje, usklađivanje boje i oblika sa vašim prirodnim zubima. Provera i zagriz, kako bi izradila krunicu koja izgleda prirodno i funkcioniše bez kompromisa.
Krunica ne treba samo da izgleda dobro, već i da bude stabilna u zagrizu. U izradi se vodi računa o svakom detalju - od nijanse i oblika do funkcionalne ravnoteže.
Za protetiku i estetsko uklapanje, kod nas je zadužena Dr Marija Sjerobabin, sa preko 20 godina iskustva u izradi krunica i protetskih radova.
Dr Marija svakoj terapiji pristupa individualno, uz pažljivo planiranje, usklađivanje boje i oblika sa vašim prirodnim zubima. Provera i zagriz, kako bi izradila krunicu koja izgleda prirodno i funkcioniše bez kompromisa.


Dr spec. Marija Sjerobabin
Doktor stomatologije
Zakažite besplatnu konsultaciju danas
Potvrdićemo vaš termin u najkraćem mogućem roku.
Plaćanje je moguće u ratama, uz fleksibilne opcije prilagođene pacijentu
Zakažite besplatnu konsultaciju danas
Potvrdićemo vaš termin u najkraćem mogućem roku.
Plaćanje je moguće u ratama, uz fleksibilne opcije prilagođene pacijentu
Zakažite besplatnu konsultaciju danas
Potvrdićemo vaš termin u najkraćem mogućem roku.
Plaćanje je moguće u ratama, uz fleksibilne opcije prilagođene pacijentu
Šta raditi kada je zub
oštećen ili estetski narušen?
Šta raditi kada je zub
oštećen ili estetski narušen?
Oštećen ili estetski narušen zub najčešće primetimo upravo onda kada želimo da budemo opušteni i spontani. Krunica takvom zubu vraća čvrstinu i lepotu, uklanjajući nelagodnost iz svakodnevnih trenutaka.
Zubna krunica je protetska nadoknada koja prekriva oštećen zub, te mu daje oblik, stabilnost i prirodan izgled. Izrađuje se precizno, u skladu sa vašim zagrizom i bojom zuba, kako bi rezultat bio uravnotežen i dugotrajan.
Krunice:
Oštećen ili estetski narušen zub ne utiče samo na izgled - utiče na sigurnost pri govoru, osmeh i svakodnevno funkcionisanje.
Zato su zubne krunice danas jedno od najpouzdanijih rešenja za vraćanje čvrstine, funkcije i prirodne estetike zuba.
Zubna krunica je protetska nadoknada koja prekriva oštećen zub i vraća mu oblik, stabilnost i prirodan izgled.
Izrađuje se precizno, u skladu sa vašim zagrizom i bojom zuba, kako bi rezultat bio skladan i dugotrajan.
Krunice:
Oštećen ili estetski narušen zub ne utiče samo na izgled - utiče na sigurnost pri govoru, osmeh i svakodnevno funkcionisanje.
Zato su zubne krunice danas jedno od najpouzdanijih rešenja za vraćanje čvrstine, funkcije i prirodne estetike zuba.
Zubna krunica je protetska nadoknada koja prekriva oštećen zub i vraća mu oblik, stabilnost i prirodan izgled.
Izrađuje se precizno, u skladu sa vašim zagrizom i bojom zuba, kako bi rezultat bio skladan i dugotrajan.
Krunice:
Vraćaju zubu čvrstinu i funkciju
Usklađuju boju i oblik sa prirodnim zubima
Štite oslabljene ili lečene zube
Uz pravilnu negu, traju i preko 20 godina


Kada su krunice pravo rešenje?
Kada su krunice
pravo rešenje?
Krunice preporučujemo:
⁌ kada je zub estetski lošeg izgleda/polomljen ili napukao
⁌ nakon lečenja kanala (endodoncije)
⁌ kada je zub istrošen (škrgutanje/bruksizam)
⁌ kada je zub promenjene boje i oblika (estetski problem)
⁌ kao deo većeg protetskog plana (mostovi/rekonstrukcije)
Cilj je da zub ponovo izgleda prirodno i funkcioniše bez nelagodnosti.
Krunice preporučujemo:
⁌ kada je zub estetski lošeg izgleda/polomljen ili napukao
⁌ nakon lečenja kanala (endodoncije)
⁌ kada je zub istrošen (škrgutanje/bruksizam)
⁌ kada je zub promenjene boje i oblika (estetski problem)
⁌ kao deo većeg protetskog plana (mostovi/rekonstrukcije)
Cilj je da zub ponovo izgleda prirodno i funkcioniše bez nelagodnosti.
Vrste krunica koje koristimo
Vrste krunica koje koristimo
U našoj ordinaciji izrađujemo bezmetalne i metalokeramičke krunice, a izbor materijala prilagođavamo vašim zubima, zagrizu i estetskim očekivanjima, kako bismo postigli podjednako stabilno i vizuelno usklađeno rešenje.
U našoj ordinaciji izrađujemo bezmetalne i metalokeramičke krunice, a izbor materijala prilagođavamo vašim zubima, zagrizu i estetskim očekivanjima, kako bismo postigli podjednako stabilno i vizuelno usklađeno rešenje.
Bezmetalne (keramičke) krunice predstavljaju vrhunsko estetsko rešenje koje u potpunosti imitira prirodnu providnost i boju zuba.
Bezmetalne (keramičke) krunice predstavljaju vrhunsko estetsko rešenje koje u potpunosti imitira prirodnu providnost i boju zuba.
⁌ Idealne su za prednje zube i osmeh zonu
⁌ Prirodno prelamaju svetlost poput pravog zuba
⁌ Uklapaju se uz desni, bez vidljivih prelaza
⁌ Pružaju nenametljiv i estetski uravnotežen izgled
⁌ Idealne su za prednje zube i osmeh zonu
⁌ Prirodno prelamaju svetlost poput pravog zuba
⁌ Uklapaju se uz desni, bez vidljivih prelaza
⁌ Pružaju nenametljiv i estetski uravnotežen izgled
Metalokeramičke krunice kombinuju čvrstu metalnu osnovu i estetski keramički sloj, pružajući stabilno i dugotrajno rešenje.
Metalokeramičke krunice kombinuju čvrstu metalnu osnovu i estetski keramički sloj, pružajući stabilno i dugotrajno rešenje.
⁌ Obezbeđuju izuzetnu čvrstinu i otpornost
⁌ Pouzdane su kod većeg opterećenja (bočni zubi)
⁌ Daju dugoročnu stabilnost u zagrizu
⁌ Često se koriste pri izradi mostova i većih rekonstrukcija
⁌ Obezbeđuju izuzetnu čvrstinu i otpornost
⁌ Pouzdane su kod većeg opterećenja (bočni zubi)
⁌ Daju dugoročnu stabilnost u zagrizu
⁌ Često se koriste pri izradi mostova i većih rekonstrukcija
Kako izgleda izrada krunice?
Kako izgleda izrada krunice?
Pregled i snimanje
Radimo klinički pregled i po potrebi rendgenski snimak kako bismo proverili stanje zuba i napravili jasan plan rada.
Pregled i snimanje
Radimo klinički pregled i po potrebi rendgenski snimak kako bismo proverili stanje zuba i napravili jasan plan rada.
Priprema zuba
Zub se pažljivo oblikuje pod lokalnom anestezijom, kako bi krunica mogla stabilno da nalegne.
Priprema zuba
Zub se pažljivo oblikuje pod lokalnom anestezijom, kako bi krunica mogla stabilno da nalegne.
Skeniranje i izbor oblika
Uzimamo precizan digitalni otisak i zajedno biramo oblik i nijansu, da bi se krunica skladno uklopila.
Skeniranje i izbor oblika
Uzimamo precizan digitalni otisak i zajedno biramo oblik i nijansu, da bi se krunica skladno uklopila.
Privremena krunica
Postavlja se privremena krunica koja štiti zub i omogućava normalno funkcionisanje dok se trajna izrađuje (obično 5–7 dana).
Privremena krunica
Postavlja se privremena krunica koja štiti zub i omogućava normalno funkcionisanje dok se trajna izrađuje (obično 5–7 dana).
Proba i trajno cementiranje
Trajna krunica se proverava, po potrebi prilagođava zagrizu, a zatim trajno fiksira specijalnim cementom.
Proba i trajno cementiranje
Trajna krunica se proverava, po potrebi prilagođava zagrizu, a zatim trajno fiksira specijalnim cementom.
Najčešća Pitanja o
Krunicama
Najčešća Pitanja o
Krunicama
Ako razmišljate o izradi krunice, velika je verovatnoća da ste se već pitali isto.
Da li mogu izabrati oblik i boju zuba prema fotografiji?
Fotografija može biti dobra inspiracija, ali svako lice, zagriz i proporcije su drugačiji. Cilj nije kopiranje tuđeg osmeha, već izrada krunice koja će se skladno uklopiti uz vaše crte lica, boju zuba i prirodan izraz. Zajedno biramo oblik i nijansu, uz stručnu procenu šta će vam zaista najbolje pristajati.
Koja vrsta krunice je najbolja za prednje zube?
U većini slučajeva preporučuju se bezmetalne (keramičke) krunice, jer najvernije imitiraju prirodnu svetlost i strukturu zuba. Posebno su pogodne kada je važno precizno uklapanje boje i oblika u postojeći niz.
Da li mogu da „probam“ krunicu pre trajnog cementiranja?
Da. Uvek postoji mogućnost probnog perioda sa privremenim cementiranjem. To znači da krunicu možete nositi nekoliko dana pre trajnog fiksiranja, a eventualne korekcije se rade pre konačnog cementiranja - tek kada ste potpuno zadovoljni izgledom i osećajem u zagrizu.
Koja je razlika između metalokeramičke i bezmetalne krunice?
Razlika je u materijalu i konstrukciji. Metalokeramička krunica ima metalnu osnovu obloženu keramikom, što je čini vrlo čvrstom i pouzdanom. Bezmetalna krunica izrađena je od cirkonijuma i keramike, pružajući vrhunski estetski efekat, posebno u prednjoj regiji. Obe opcije su dugotrajne - izbor zavisi od položaja zuba, opterećenja i estetskih zahteva.
Da li ću imati privremenu krunicu?
Da. Istog dana nakon pripreme zuba dobijate privremenu krunicu. Ona štiti zub, omogućava normalno funkcionisanje i održava estetski izgled dok se trajna krunica izrađuje.
Da li postoji mogućnost plaćanja na rate?
Da. Razumemo da je odluka o implantima važna i zdravstveno i finansijski, zato nudimo fleksibilne opcije plaćanja, uključujući plaćanje na rate. Tokom konsultacije zajedno pronalazimo model koji vam najviše odgovara, kako biste terapiju mogli da započnete bez nepotrebnog opterećenja.
Učitaj Više…
Da li mogu izabrati oblik i boju zuba prema fotografiji?
Fotografija može biti dobra inspiracija, ali svako lice, zagriz i proporcije su drugačiji. Cilj nije kopiranje tuđeg osmeha, već izrada krunice koja će se skladno uklopiti uz vaše crte lica, boju zuba i prirodan izraz. Zajedno biramo oblik i nijansu, uz stručnu procenu šta će vam zaista najbolje pristajati.
Koja vrsta krunice je najbolja za prednje zube?
U većini slučajeva preporučuju se bezmetalne (keramičke) krunice, jer najvernije imitiraju prirodnu svetlost i strukturu zuba. Posebno su pogodne kada je važno precizno uklapanje boje i oblika u postojeći niz.
Koja je razlika između metalokeramičke i bezmetalne krunice?
Razlika je u materijalu i konstrukciji. Metalokeramička krunica ima metalnu osnovu obloženu keramikom, što je čini vrlo čvrstom i pouzdanom. Bezmetalna krunica izrađena je od cirkonijuma i keramike, pružajući vrhunski estetski efekat, posebno u prednjoj regiji. Obe opcije su dugotrajne - izbor zavisi od položaja zuba, opterećenja i estetskih zahteva.
Da li mogu da „probam“ krunicu pre trajnog cementiranja?
Da. Uvek postoji mogućnost probnog perioda sa privremenim cementiranjem. To znači da krunicu možete nositi nekoliko dana pre trajnog fiksiranja, a eventualne korekcije se rade pre konačnog cementiranja - tek kada ste potpuno zadovoljni izgledom i osećajem u zagrizu.
Da li postoji mogućnost plaćanja na rate?
Da. Razumemo da je odluka o implantima važna i zdravstveno i finansijski, zato nudimo fleksibilne opcije plaćanja, uključujući plaćanje na rate. Tokom konsultacije zajedno pronalazimo model koji vam najviše odgovara, kako biste terapiju mogli da započnete bez nepotrebnog opterećenja.
Da li ću imati privremenu krunicu?
Da. Istog dana nakon pripreme zuba dobijate privremenu krunicu. Ona štiti zub, omogućava normalno funkcionisanje i održava estetski izgled dok se trajna krunica izrađuje.
Učitaj Više…
Da li mogu izabrati oblik i boju zuba prema fotografiji?
Fotografija može biti dobra inspiracija, ali svako lice, zagriz i proporcije su drugačiji. Cilj nije kopiranje tuđeg osmeha, već izrada krunice koja će se skladno uklopiti uz vaše crte lica, boju zuba i prirodan izraz. Zajedno biramo oblik i nijansu, uz stručnu procenu šta će vam zaista najbolje pristajati.
Koja vrsta krunice je najbolja za prednje zube?
U većini slučajeva preporučuju se bezmetalne (keramičke) krunice, jer najvernije imitiraju prirodnu svetlost i strukturu zuba. Posebno su pogodne kada je važno precizno uklapanje boje i oblika u postojeći niz.
Da li mogu da „probam“ krunicu pre trajnog cementiranja?
Da. Uvek postoji mogućnost probnog perioda sa privremenim cementiranjem. To znači da krunicu možete nositi nekoliko dana pre trajnog fiksiranja, a eventualne korekcije se rade pre konačnog cementiranja - tek kada ste potpuno zadovoljni izgledom i osećajem u zagrizu.
Koja je razlika između metalokeramičke i bezmetalne krunice?
Razlika je u materijalu i konstrukciji. Metalokeramička krunica ima metalnu osnovu obloženu keramikom, što je čini vrlo čvrstom i pouzdanom. Bezmetalna krunica izrađena je od cirkonijuma i keramike, pružajući vrhunski estetski efekat, posebno u prednjoj regiji. Obe opcije su dugotrajne - izbor zavisi od položaja zuba, opterećenja i estetskih zahteva.
Da li ću imati privremenu krunicu?
Da. Istog dana nakon pripreme zuba dobijate privremenu krunicu. Ona štiti zub, omogućava normalno funkcionisanje i održava estetski izgled dok se trajna krunica izrađuje.
Da li postoji mogućnost plaćanja na rate?
Da. Razumemo da je odluka o implantima važna i zdravstveno i finansijski, zato nudimo fleksibilne opcije plaćanja, uključujući plaćanje na rate. Tokom konsultacije zajedno pronalazimo model koji vam najviše odgovara, kako biste terapiju mogli da započnete bez nepotrebnog opterećenja.
Učitaj Više…
Cenovnik:
Cenovnik:
Bezmetalna keramička krunica
300 €
Metalokeramička krunica
120 €
Frezovana krunica
140 €
Teleskop krunica (plus zlato)
215 €
Metalokeramička krunica na implantu
150 €
Bezmetalna krunica na implantu
350 €
Parcijalna pločasta proteza
250 €
Totalna proteza
350 €
Totalna proteza na implantima
840 €
Skeletirna proteza
450 €
Atačmeni par
300 €
Bezmetalna keramička krunica
300 €
Metalokeramička krunica
120 €
Frezovana krunica
140 €
Teleskop krunica (plus zlato)
215 €
Bezmetalna krunica na implantu
350 €
Parcijalna pločasta proteza
250 €
Totalna proteza
350 €
Totalna proteza na implantima
840 €
Skeletirna proteza
450 €
Atačmeni par
300 €
Metalokeramička krunica na implantu
150 €
Bezmetalna keramička krunica
300 €
Metalokeramička krunica
120 €
Frezovana krunica
140 €
Teleskop krunica (plus zlato)
215 €
Metalokeramička krunica na implantu
150 €
Bezmetalna krunica na implantu
350 €
Parcijalna pločasta proteza
250 €
Totalna proteza
350 €
Totalna proteza na implantima
840 €
Skeletirna proteza
450 €
Atačmeni par
300 €
Ne odlažite osmeh koji vam nedostaje.
Rok za ostvarivanje pogodnosti ističe za:
23 : 10 : 28 : 13
23 : 10 : 28 : 13







